CHVALÍNKA – sobotní urgentní příjem ❤️

🔸V sobotu později odpoledne jsme byli přivoláni k nálezu 4 barevné chlupaté kočičky na silnici mezi obcemi Chvalin a Židovice. Kočičky byla v opravdu zubozenem stavu:hubena na kost, zacuchana srst, dusila se. Měli jsme podezření na srážku autem. Ihned jsme vyrazili na kliniku.
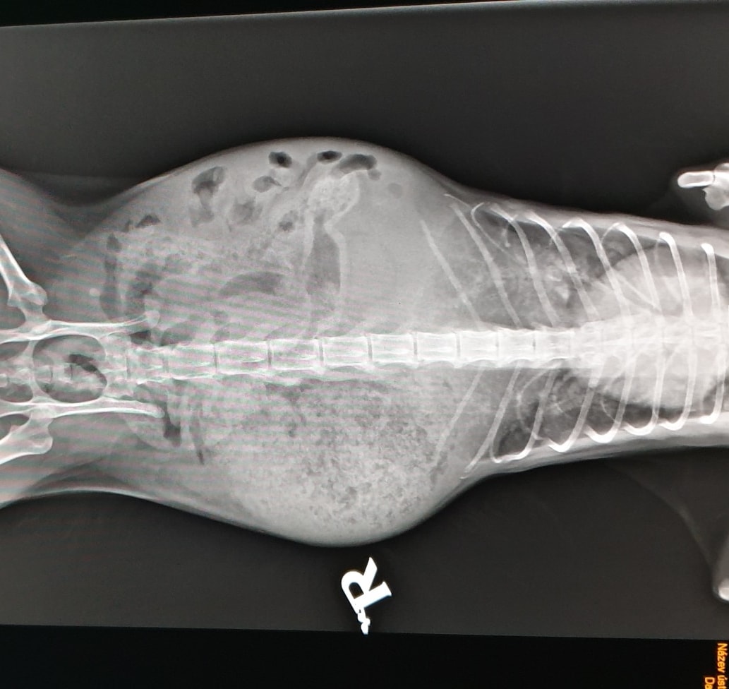
🔸Tam na nás již čekali. Pohotovostní službu měla paní doktorka ošetřující i Wariora. Nejprve několik RTG, sono a krev. Neznámá tekutina v břišní dutině, potíže s dýcháním, nic zlomeného. Obrovské srdce, vnitřní orgány zastřené. Zvláštní útvar v dutině břišní. Kočička byla dána na kyslík. A čekali jsme na stabilizaci. Podařilo se provést punkci a odebrat vzorek tekutiny. Pozdě večer se stav stabilizoval a dohodli jsme se na operaci – otevření. Operace byla dlouhá a zkončila pozdě v noci.
🔸V současné době kočička krásně ji, mazli se, komunikuje. Její stav však není dobrý. Tekutina, se ze zatím z neznámých příčin tvoří opět. Při podávání léků moc nespolupracuje. Musíme ji přemlouvat. Tvorba tekutiny by mohla souviset s jejím nemocnym srdíčkem, stejně tak dušnost.
Musíme doufat že pro ni má Velká kočka vyměřeno ještě hodně času.








Příspěvek z Facebooku