DALŠÍM ☀️ KDO JEŠTĚ ČEKÁ NA ÚŽASNÝ DÁREK 🎁 JE KOCOUREK DONIK ♥️
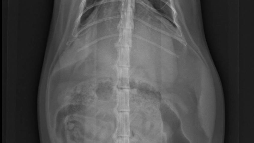
Po té, co se k nám DONÍČEK dostal mnel neustále potíže s dusností. Rychlé se zadýchal a unavil a dýchání mu celkové dělalo potíže.
Po sérii vyšetření a RTG byla Donikovi nasazena chemoterapie! 😯
Drobné útvary nádoroveho bujení po celých plicích potvrdila i biopsie.
Donik tak už jako malé kotě odjížděl na kliniku pravidelně na chemoterapii. Což bylo náročné na psychiku jeho i naši a stalo nemálo korunek.
Teď je již v pořádku ♥️. Je to miláček a mazel. Každého vítá, rád se šplhá lidem po nohou do náruče. MILUJE SI VÁM USTLAT PĚKNĚ NA RAMENOU, na temeni. Tam vydrží spát i několik hodin a vrnet a slintat blahem. Mezi tím můžete v klidu vařit, stipat dříví uklízet.
Stavte se uvidíte.

